MRCP
Präzise Diagnostik der Gallen- und Bauchspeicheldrüsengänge
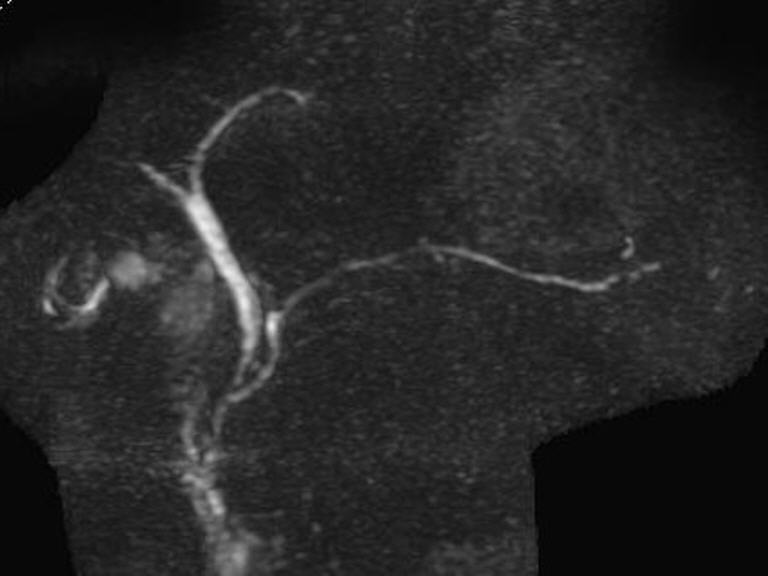
Mit der Magnetresonanz-Cholangiopankreatikographie (MRCP) bieten wir Ihnen eine schonende und strahlungsfreie Methode zur detaillierten Untersuchung der Gallenwege, Gallengänge und Bauchspeicheldrüsengänge. Dieses hochmoderne Verfahren ermöglicht eine klare und präzise Darstellung, ohne dass ein Eingriff oder die Gabe von Kontrastmittel über die Gallenwege erforderlich ist. Wir bieten die MRCP im Rahmen einer umfassenden Untersuchung der Leber und Bauchspeicheldrüse an.
Ihre Vorteile auf einen Blick:
- Nicht-invasiv und strahlungsfrei: Kein Eingriff und keine Strahlenbelastung.
- Exzellente Bildqualität: Detaillierte Darstellung von Gallen- und Bauchspeicheldrüsengängen.
- Früherkennung von Erkrankungen: Erkennt Engstellen, Steine oder andere Veränderungen zuverlässig. Auch Erkrankungen der Leber und der Bauchspeicheldrüse werden sicher erkannt.
- Komfortable Durchführung: Die Untersuchung erfolgt in einer entspannten Atmosphäre und dauert in der Regel nur 30 bis 45 Minuten.
Kosten:
Die MRCP bieten wir als Selbstzahlerleistung für ca. 380 € an. Private Krankenkassen übernehmen in der Regel die Kosten.
Profitieren Sie von der modernen Diagnostik der MRCP, um schnell und präzise Klarheit über Ihre Gesundheit zu gewinnen. Vereinbaren Sie noch heute Ihren Termin!



