Strahlentherapie
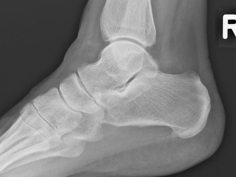
Die Röntgenreizbestrahlung ist eine spezielle Therapieform, bei der schwache Röntgenstrahlen gezielt eingesetzt werden, um schmerzhafte Entzündungen, wie z. B. bei Arthrose, Sehnenreizungen oder einen Fersensporn, zu behandeln. Die Strahlen wirken entzündungshemmend und schmerzlindernd, ohne das umliegende Gewebe stark zu belasten. Die Behandlung ist schmerzfrei, dauert nur wenige Minuten und erfolgt in mehreren Sitzungen. Die Strahlendosis ist dabei sehr gering, sodass die Therapie gut verträglich ist.
Unser Schwerpunkt
- Röntgenbestrahlung der Knochen, Bänder und Gelenke.
Patienteninformationen zum Download
- Fragebogen [375 KB] vor der Strahlentherapie
