Ultraschall

Der Ultraschall ist ein schmerzfreies und sicheres Verfahren, das Schallwellen nutzt, um Bilder von Organen und Geweben im Körper zu erstellen. Der Arzt fährt mit einem kleinen Schallkopf, der Gel auf der Haut aufträgt, über die zu untersuchende Stelle. So können innere Organe, wie z.B. die Leber und die Schilddrüse genau untersucht werden. Da keine Strahlung verwendet wird, ist der Ultraschall besonders schonend und eignet sich auch für Kinder und Schwangere.

Unsere Schwerpunkte

  • Brustultraschall
  • Ultaschall der Schilddrüse und Halsweichteile
  • Abdomensonographie
  • Ultraschall der Gelenke und Körperweichteile
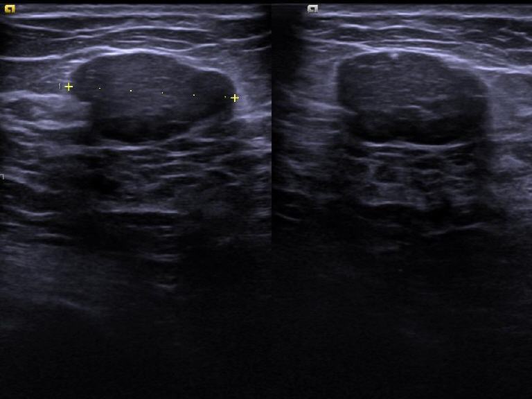
  • Sonographiebild der Brust mit Herdbefund

    Hier sieht man einen dunklen (hypoechogenen), glatt begrenzten Herdbefund im Brustparenchym. Der Befund kann gut oder bösartig sein und sollte mit einer Biopsie abgeklärt werden.

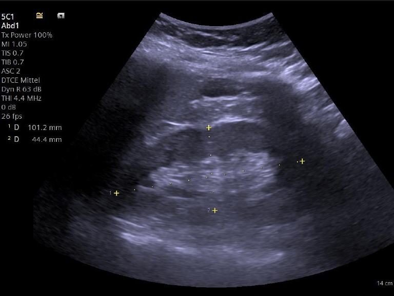
  • Sonographiebild einer Niere

    Normalbefund – man erkennt gut das dunklere Nierenparenchym mit dem zentralen helleren Nierenbecken.

  • Doppler-Sonographiebild der Halsschlagader

    In Rot dargestellt ist der Blutfluss in der Arterie, in Blau der Blutfluss der Venen. Mit der Doppler-Sonographie kann nicht nur die Flussrichtung des Blutes sondern auch die Geschwindigkeit des Blutes bestimmt werden. Das hilft Gefäßstenosen besser einzuschätzen.

Unsere Leistungen