MRT
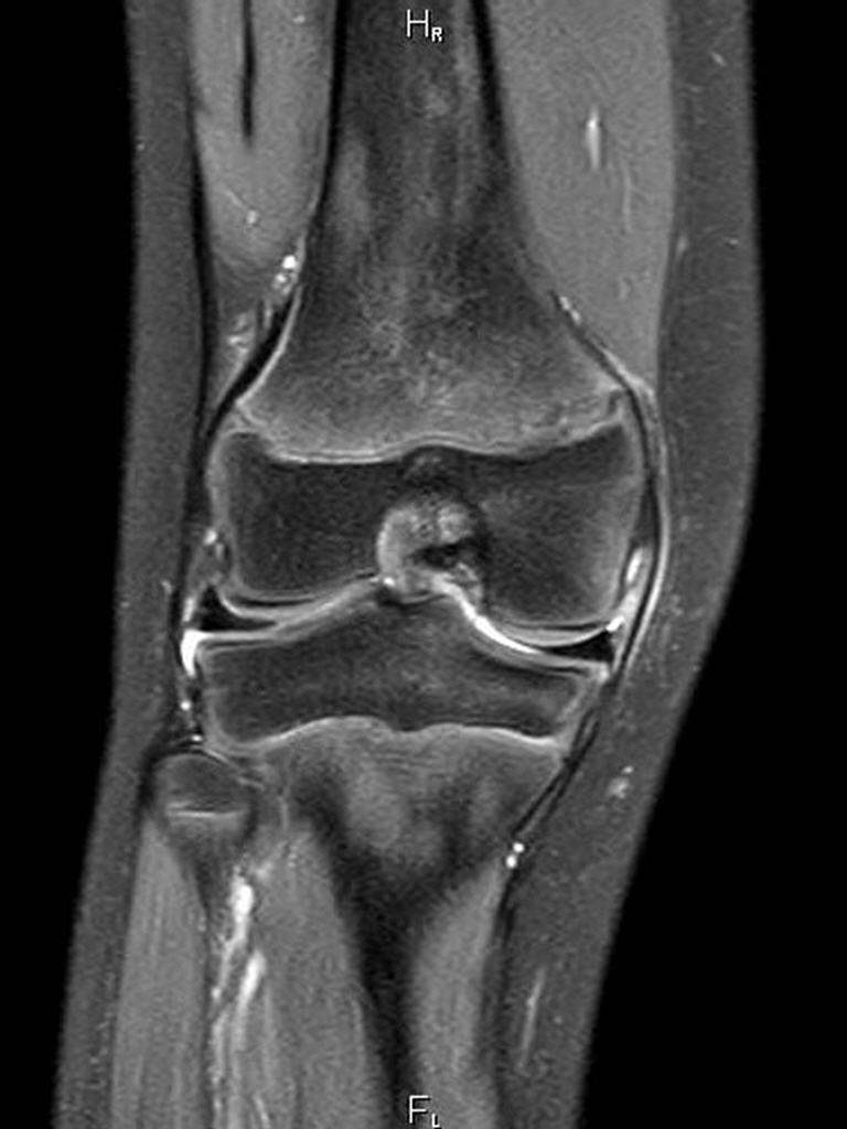
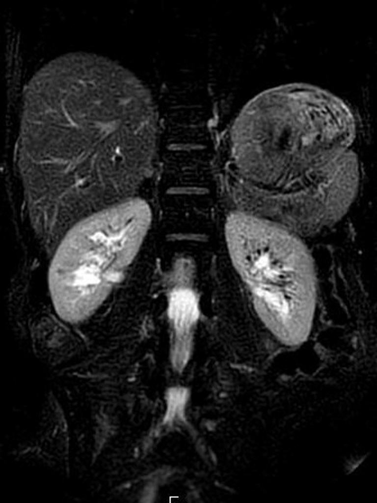
Die Magnetresonanztomographie (MRT) ist ein bildgebendes Verfahren, das ohne Röntgenstrahlen arbeitet. Stattdessen nutzt es ein starkes Magnetfeld und Radiowellen, um sehr genaue Bilder von Organen und Geweben im Körper zu erstellen. Während der Untersuchung liegt der Patient in einem röhrenförmigen Scanner, der laute Klopfgeräusche macht. Das MRT ist schmerzfrei und dauert je nach Untersuchung zwischen 15 und 30 Minuten. Es hilft Ärzten, Veränderungen im Körper, wie z. B. Entzündungen oder Tumore, genau zu erkennen. In manchen Fällen wird ein Kontrastmittel verwendet, um die Bilder noch klarer zu machen.
Für ängstliche Patienten kann auf Wunsch ein Beruhigungsmittel verabreicht werden. Bitte beachten Sie, dass Sie nach der Einnahme nicht mehr selbst Auto fahren dürfen und eine Begleitperson Sie abholen muss.
Unsere Schwerpunkte
- Bildgebung aller Gelenke
- Wirbelsäulendiagnostik
- Kopfbildgebung zur Abklärung neurologischer Symptome
- Diagnostik der Oberbauchorgane
- Darstellung der Gallenwege MRCP (Magnetresonanz-Cholangiopankreatikographie)
- Darstellung des kleinen Beckens
- Prostata-MRT
- Tumornachsorge
- MR-Angiographie zur Gefäßdarstellung
Patienteninformationen zum Download
- Fragebogen [480 KB] vor der MRT-Untersuchung



