Prostata-MRT
Früherkennung für Ihre Sicherheit – präzise und schonend
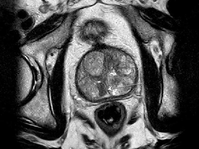
Ein erhöhter PSA-Wert oder der Verdacht auf Prostatakrebs kann viele Fragen aufwerfen. Mit dem Prostata-MRT bieten wir Ihnen eine moderne, nicht-invasive Untersuchung, die höchste Präzision und Sicherheit bei der Diagnose gewährleistet. Durch die detaillierte Bildgebung können selbst kleinste Tumore frühzeitig erkannt und gezielte Biopsien durchgeführt werden.
Ihre Vorteile auf einen Blick:
- Frühzeitige Tumorerkennung: Auch kleine Veränderungen der Prostata können sichtbar gemacht werden, was die Heilungschancen deutlich erhöht.
- Gezielte Biopsien: Bei Verdacht können Biopsien punktgenau durchgeführt werden, was die Genauigkeit verbessert und unnötige Eingriffe vermeidet.
- Nicht-invasiv und schmerzfrei: Im Gegensatz zu herkömmlichen Methoden erfolgt die Untersuchung ohne direkte Eingriffe.
- Schnellere und präzisere Diagnose: Das MRT ermöglicht eine umfassende Beurteilung der Prostata und schafft Klarheit bei unklarem PSA-Wert.
- Beruhigung: Sie erhalten mehr Sicherheit und reduzieren Unsicherheiten bei einem erhöhten PSA-Wert.
Kosten:
Für Selbstzahler bieten wir das Prostata-MRT für ca. 380 € an. Private Krankenversicherungen übernehmen in der Regel die Kosten.
Vorsorge kann Leben retten. Nutzen Sie die Möglichkeit einer gezielten, präzisen Früherkennung und vereinbaren Sie noch heute Ihren Termin für ein Prostata-MRT!



